Nature:重大进展!揭示李斯特菌逃避免疫反应感染中枢神经系统机制
发布日期:2022-03-21 12:48:17 浏览次数:
2022年3月21日讯---一些高致病性的单核细胞增多性李斯特菌(Listeria monocytogenes)菌株具有更大的感染中枢神经系统的能力。在一项新的研究中,来自法国巴斯德研究所、巴黎城市大学、法国国家健康与医学研究院(INSERM)和巴黎公共医院网络(AP-HP)的研究人员发现了一种让感染了单核细胞增多性李斯特菌的细胞能够逃避免疫反应的机制。这种机制使在血液中循环的受感染细胞更有可能粘附和感染脑血管的细胞,从而使得这种细菌能够跨过血脑屏障并感染大脑。相关研究结果于2022年3月16日在线发表在Nature期刊上,论文标题为“Bacterial inhibition of Fas-mediated killing promotes neuroinvasion and persistence”。
中枢神经系统被非常紧密的称为血脑屏障的生理屏障与血液隔开。但是一些病原体设法穿过它,因此能够感染中枢神经系统,但是它们使用的机制还不太清楚。
单核细胞增多性李斯特菌是导致人类李斯特菌病(human listeriosis)的细菌,这是一种严重的食源性疾病,可导致称为中枢神经系统李斯特菌感染(neurolisteriosis)的中枢神经系统感染。这种中枢神经系统感染特别严重,在30%的病例中是致命的。
在这项新的研究中,这些作者发现了单核细胞增多性李斯特菌感染中枢神经系统的机制。他们开发了一种临床相关的实验模型,再现了人类李斯特菌病的不同阶段,并涉及从中枢神经系统李斯特菌感染者身上分离出的毒性李斯特菌毒株。
这些作者首先观察到作为一类白细胞的炎症性单核细胞被这种细菌感染了。这些受感染的单核细胞在血液中循环并粘附在脑血管的细胞上,使李斯特菌感染脑组织。

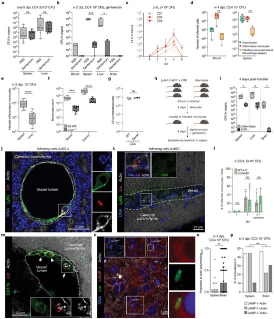
受感染的炎症性单核细胞将单核细胞增多性李斯特菌转移到大脑。图片来自Nature, 2022, doi:10.1038/s41586-022-04505-7。
他们随后证实作为单核细胞增多性李斯特菌的一种表面蛋白,InIB使得这种细菌能够躲避免疫系统,并在受感染的单核细胞提供的保护性壁龛(niche,也译为微环境)中存活下来。InB与其细胞受体c-Met之间的相互作用阻止了细胞毒性T细胞介导的细胞死亡,其中这些细胞毒性T细胞专门靶向受到李斯特菌感染的细胞。因此,InIB使受感染的细胞能够在细胞毒性T细胞的存在下存活下来。
这种机制延长了受感染细胞的寿命,提高了血液中受感染单核细胞的数量,促进了这种细菌扩散到包括大脑在内的宿主组织。它还有利于李斯特菌在肠道组织中的持续存在、它的粪便排泄和传播回环境。
论文通讯作者、巴斯德研究所感染生物学组组长Marc Lecuit解释说,“我们发现了一种特异性的、意想不到的机制:病原体李斯特菌通过专门阻断一种对控制感染至关重要的免疫系统功能来增加它感染的宿主细胞的寿命。”
其他细胞内病原体,如弓形虫和结核分枝杆菌,也可能使用类似的机制来感染大脑。识别和了解受感染细胞的免疫逃逸机制可能会产生新的治疗策略来预防感染,也为器官移植中使用的新免疫抑制方法铺平道路。
参考资料:
Claire Maudet et al. Bacterial inhibition of Fas-mediated killing promotes neuroinvasion and persistence. Nature, 2022, doi:10.1038/s41586-022-04505-7.
一体化科研服务企业--中科世康
南京中科世康生物科技有限公司(www.njzksk.com)
简介:南京中科世康生物科技有限公司旨在关注人类生命健康,公司集试剂研发、生产、销售及科研技术服务等产学研相结合的生物医药科技企业。公司总部在南京,三家全资子公司;业务面向全国,在江苏、福建、江西、贵州、广西、云南、内蒙古等多个省份均有驻点人员。公司致力于基础科研以及精准医疗服务,具体的服务包括 :细胞、动物、分子、蛋白、病理、组学、测序等,以及PDX(个体化肿瘤治疗方案)及精准癌症的医疗研发、CTC(新一代无标记循环肿瘤细胞测试)、TCA(患者个体化原代细胞敏感性测试)分子诊断、精准化医疗研究包括:PDX、CTC、TCA。

关注官方微信